bonding tedavisi

Bonding Tedavisi

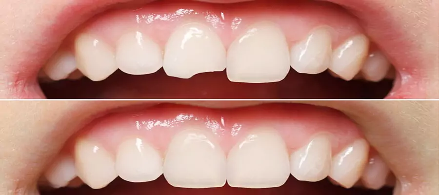
Bonding tedavisi, dişlerdeki şekil, renk veya ufak çaplı hasarları düzeltmek amacıyla yapılan, diş rengindeki bir kompozit reçinenin dişe yapıştırılarak uygulandığı bir estetik tedavi yöntemidir. Bu tedavi, dişlerdeki küçük kırıklar, çatlaklar, aralıklar ve lekeler gibi sorunları gidermek için kullanılır. Bonding işlemi sırasında dişin yüzeyi hafifçe pürüzlendirilir ve ardından özel bir yapıştırıcı uygulanarak kompozit materyal dişe bağlanır. Diş hekimi, bu materyali şekillendirip cilalayarak dişin doğal görünümüne uygun bir hale getirir.

Genelde bonding tedavisi tek seansta tamamlanabilen bir işlemdir ve dişlerin estetik görünümünü kısa sürede düzeltmek isteyenler için oldukça etkili bir seçenektir. Diğer estetik tedavilere göre daha az maliyetli ve daha az invaziv bir yöntem olması nedeniyle sıklıkla tercih edilir. Bonding ile dişler arasındaki küçük boşluklar kapatılabilir, dişlerin boyutları eşitlenebilir veya ufak renk değişiklikleri giderilebilir. Tedavi sonrası dişlerin rengi ve şekli doğal bir görünüm kazanır. Ancak bonding materyali zamanla aşınabilir veya renklenebilir; bu nedenle düzenli bakım ve diş hekimi kontrolleri önemlidir. Sağlam ve estetik bir görünüm elde etmek için ideal bir çözümdür.

Bonding Tedavisi Nasıl Yapılır?

Bonding tedavisi, dişin yüzeyine diş rengindeki bir kompozit reçine uygulanarak yapılan bir estetik diş tedavisidir ve genellikle tek bir seansla tamamlanır. İlk olarak diş hekimi, dişi tedaviye hazırlamak için yüzeyini hafifçe pürüzlendirir ve dişe özel bir asitli jel sürerek yüzeyi mikroskobik düzeyde pürüzlü hale getirir. Bu işlem, bonding materyalinin dişe güçlü bir şekilde yapışmasını sağlamak için yapılır. Ardından, diş üzerine yapışkan bir sıvı uygulanarak kompozit materyalin dişe bağlanması için bir bağlayıcı tabaka oluşturulur.

Daha sonra, diş hekiminiz dişin rengine uygun olarak seçilen kompozit reçineyi dişe uygular ve istenen şekli verir. Materyal dişe dikkatlice yerleştirilir, şekillendirilir ve cilalanarak doğal diş görünümüne uygun hale getirilir. Son aşamada, özel bir ışık kaynağı kullanılarak kompozit reçine sertleştirilir ve dişe tamamen sabitlenir. Bonding işlemi tamamlandıktan sonra diş yüzeyi parlatılır ve işlem sonlandırılır. Tüm süreç genellikle ağrısızdır ve çoğu durumda lokal anesteziye ihtiyaç duyulmaz.

Bonding tedavisi, dişlerdeki küçük çatlakları, kırıkları, aralıkları veya renk değişikliklerini düzeltmek için ideal bir yöntemdir. Tedavi sonrası doğal görünümlü, pürüzsüz ve estetik bir sonuç elde edilir. Bonding uygulamasının uzun ömürlü olabilmesi için düzenli ağız bakımı ve diş hekimi kontrolleri önerilir.

Hangi Durumlarda Bonding Tedavisi Uygulanır?

Bonding tedavisi, dişlerdeki küçük çaplı estetik ve yapısal sorunları düzeltmek amacıyla çeşitli durumlarda uygulanır. Dişler arasında boşluk veya aralıklar varsa, bonding materyali ile bu boşluklar kolayca kapatılabilir ve daha estetik bir görünüm elde edilebilir. Ayrıca, dişlerdeki ufak kırıklar, çatlaklar veya aşınmalar durumunda bonding, dişi eski formuna ve işlevselliğine kavuşturmak için tercih edilen bir yöntemdir. Dişin yüzeyindeki küçük lekeler, renk farklılıkları veya kalıcı renklenmeler de bonding ile kapatılarak dişlerin doğal rengine uyumlu hale getirilebilir.

Bonding tedavisi, dişlerin boyutunu veya şeklini eşitlemek ve dişler arasında uyum sağlamak için de kullanılır. Örneğin, kısa dişleri uzatmak veya düzensiz dişleri şekillendirmek amacıyla uygulanabilir. Çatlak veya kırık nedeniyle estetik kaygı yaşayan kişiler için bonding, pratik ve ekonomik bir çözüm sunar. Bonding ayrıca diş minesinde aşınma veya hassasiyet gibi problemler yaşayan hastalara, diş yüzeyini kaplayarak koruyucu bir katman sunar.

Bu tedavi, genellikle minimal bir müdahale gerektirdiği ve diş dokusunun büyük ölçüde korunmasına olanak tanıdığı için tercih edilir. Dişlerdeki küçük düzeltmeler veya estetik iyileştirmeler için hızlı, etkili ve ekonomik bir çözüm olarak öne çıkan bonding, doğal görünümlü sonuçlarıyla gülüşünüzü güzelleştirir.

Bonding Tedavisi Ne Kadar Sürer?

Bonding tedavisi, genellikle bir diş için 30 dakika ile 1 saat arasında süren bir işlemdir. Tedavi süresi, dişin durumuna, uygulanacak işlemin kapsamına ve diş sayısına bağlı olarak değişebilir. Eğer birden fazla dişe bonding yapılacaksa, toplam süre uzayabilir, ancak çoğu durumda tedavi tek bir randevuda tamamlanabilir. İşlem sırasında dişin yüzeyi hafifçe pürüzlendirilir, yapışkan bir sıvı uygulanır ve ardından diş rengindeki kompozit materyal dişe dikkatlice yerleştirilip şekillendirilir.

Diş hekimi, materyali şekillendirdikten sonra özel bir ışık kullanarak kompoziti sertleştirir ve işlem sonrasında dişi cilalar. Bonding tedavisi genellikle lokal anestezi gerektirmez ve hasta için ağrısız bir süreç sunar. Tedavinin pratik ve hızlı olması, estetik bir görünüm isteyenler için cazip bir seçenek olmasını sağlar. Bonding işlemiyle dişlerdeki küçük kusurlar kolayca giderilir ve sonuç hemen gözlemlenebilir. Bu nedenle, kısa sürede estetik bir iyileşme sağlamak isteyenler için oldukça uygun bir çözümdür.

Bonding Tedavisinin Avantajları Nelerdir?

Bonding tedavisinin en büyük avantajlarından biri, dişlerdeki küçük çaplı estetik ve yapısal problemleri hızlı bir şekilde düzeltmesi ve doğal bir görünüm sağlamasıdır. Bu işlem genellikle tek bir randevuda tamamlanabilir, bu da zamandan tasarruf sağlar ve hasta için pratik bir tedavi sunar. Bonding, diş yapısına zarar vermeden uygulanır; yani diş yüzeyinden minimum miktarda madde kaldırılır veya hiç kaldırılmaz, bu da dişin doğal yapısını korur.

Diş rengine uyumlu bir kompozit materyal kullanıldığı için sonuçlar son derece estetik ve doğaldır. Bonding tedavisi dişler arasındaki küçük boşlukları kapatma, kırık veya çatlak dişleri onarma ve dişlerdeki renk değişimlerini düzeltme gibi birçok sorunu çözer. Diğer estetik diş tedavilerine göre maliyetinin daha uygun olması, bonding’i popüler bir seçenek haline getirir. Tedavi sırasında genellikle anesteziye ihtiyaç duyulmaz ve işlem ağrısızdır, bu da hasta konforunu artırır.

Bonding materyali zamanla aşınsa veya renklenme olsa bile, kolayca onarılabilir ve yenilenebilir. Bu, tedavinin uzun vadeli bakımını ve estetik görünümünü korumayı kolaylaştırır. Bonding tedavisi, dişlerde küçük düzeltmeler yapmak isteyenler için hem etkili hem de ekonomik bir çözüm sunarak gülüşü güzelleştirir.

İşlem Sonrasında Nelere Dikkat Edilmelidir?

Bonding işlemi sonrasında dişlerinizi korumak ve tedavinin uzun ömürlü olmasını sağlamak için bazı önemli noktalara dikkat etmelisiniz. İlk olarak, bonding materyali sertleştirilmiş olsa da aşırı sert gıdaları çiğnemekten veya dişlerinizi zorlayacak hareketlerden kaçınmanız önerilir. Örneğin, tırnak yeme, kalem ısırma veya dişle paket açma gibi alışkanlıklar bonding yapılan dişlerde hasara yol açabilir. Ayrıca, kahve, çay, kırmızı şarap ve sigara gibi renklenmeye neden olabilecek gıdalardan mümkün olduğunca uzak durmak ya da tüketimlerini sınırlamak önemlidir; çünkü bonding materyali zamanla renk değiştirebilir.

Dişlerinizi düzenli olarak fırçalamak, diş ipi kullanmak ve ağız hijyenine dikkat etmek, bonding yapılan dişlerin sağlıklı kalmasına katkı sağlar. Diş hekiminiz düzenli kontroller önerdiğinde bu randevuları aksatmamanız, bonding işleminin uzun süreli başarılı bir sonuç vermesine yardımcı olur. Gıcırdatma veya sıkma gibi alışkanlıklarınız varsa, diş hekiminiz bu durum için gece plağı gibi koruyucu önlemler önerebilir. İşlem sonrası hassasiyet gelişmesi durumunda diş hekiminize danışmanız önemlidir; bu hassasiyet genellikle geçici olsa da, durumunuza özel öneriler alabilirsiniz. Tüm bu dikkat edilmesi gerekenler, bonding işleminin estetik ve fonksiyonel sonuçlarını uzun yıllar boyunca korumanıza yardımcı olur.

Bonding Tedavisi Fiyatları 2025

Bonding tedavisi fiyatları, tedavinin yapılacağı diş sayısına, işlemin kapsamına ve kullanılan materyalin kalitesine göre değişiklik gösterebilir. Genellikle diğer estetik diş tedavilerine kıyasla daha uygun maliyetli bir seçenek olan bonding, küçük çaplı düzeltmeler ve estetik iyileştirmeler için tercih edilir. Tedavi fiyatları, işlemin yapıldığı kliniğin konumu, diş hekiminin deneyimi ve kliniğin donanımı gibi faktörlerden de etkilenebilir.

Bazı durumlarda bonding tedavisi, daha fazla aşınma ve renk değişimine uğrayabileceği için belirli bir bakım gerektirir; bu da ilerleyen dönemlerde yenileme veya rötuş gerektirebilir. Tedavinin uzun ömürlü olmasını sağlamak için düzenli kontroller ve bakım önemlidir. Fiyatlandırma, işlem öncesinde yapılan değerlendirmeler ve tedavi planına göre netleşir.

Özel kliniklerdeki fiyatlar daha yüksek olabilse de, tedavi kalitesine ve hastanın ihtiyaçlarına göre farklılık gösterebilir. Bu nedenle, bonding tedavisi yaptırmayı düşünüyorsanız, diş hekiminizle birebir görüşerek size özel bir fiyatlandırma ve tedavi planı almanız en sağlıklı adım olacaktır.

Sık Sorulan Sorular

Bonding Tedavisi Acıtır Mı?

Bonding tedavisi genellikle acı veren bir işlem değildir ve çoğu hasta için oldukça konforlu bir süreç sunar. Tedavi sırasında dişin yüzeyi hafifçe pürüzlendirilir ve üzerine kompozit materyal uygulanır; bu süreçte diş sinirlerine herhangi bir müdahale yapılmadığı için ağrı hissedilmez. Çoğu durumda lokal anesteziye bile gerek duyulmaz. Tedavi sırasında diş hekimi, dişi şekillendirmek ve kompozit materyali dişle uyumlu hale getirmek için hassas bir çalışma yapar, bu nedenle işlem sırasında rahatsızlık genellikle minimaldir.

Bonding sonrasında bazı hastalar kısa süreli hassasiyet yaşayabilir; sıcak-soğuk yiyecek ve içeceklere karşı dişlerde geçici bir hassasiyet oluşabilir. Bu durum genellikle birkaç gün içinde kendiliğinden kaybolur. Tedavi sırasında herhangi bir rahatsızlık veya hassasiyet hissederseniz, diş hekiminiz bu durumu rahatlatmak için gerekli önlemleri alacaktır. Bonding işlemi, hızlı ve ağrısız bir şekilde estetik bir görünüm elde etmek isteyenler için oldukça uygun bir seçenektir. İşlem sonrasında ağrı veya rahatsızlık oluşması durumunda hekiminize danışmanız yeterlidir.

Uygulamadan Sonra Dişlerde Herhangi Bir Değişiklik Olur Mu?

Bonding uygulamasından sonra dişlerinizde genellikle hemen fark edilir bir estetik değişiklik olur. Dişlerdeki çatlaklar, kırıklar, renk farklılıkları veya aralıklar bonding ile düzeltildiği için dişler daha düzgün ve estetik bir görünüme kavuşur. Uygulama sonrası dişlerinizin rengi ve şekli doğal dişlerinizle uyumlu hale getirilir, bu da gülüşünüzün daha estetik ve dengeli görünmesini sağlar. Dişleriniz daha pürüzsüz bir yüzeye sahip olur, bu da ağızda daha konforlu bir his yaratır.

İlk günlerde, dişlerinizde hafif bir hassasiyet veya sıcak-soğuk duyarlılığı yaşayabilirsiniz; bu durum genellikle geçici olup kısa sürede kaybolur. Bonding işlemi dişin yüzeyine yapılan bir uygulama olduğu için doğal diş dokusunda büyük bir değişiklik yapılmaz. Ancak, bonding materyali zamanla aşınabilir veya renklenme gösterebilir; bu nedenle dişlerinizin bakımına özen göstermek önemlidir. Kahve, çay, sigara gibi dişlerde renk değişikliğine neden olabilecek gıdalardan uzak durmak ya da tüketimi sınırlamak faydalı olur. Bonding sonrası, diş hekiminizin önerdiği şekilde dişlerinizi korumak, uzun süre estetik ve sağlıklı bir görünüm elde etmenizi sağlar.

Bonding Tedavisinin Kullanım Ömrü Ne Kadardır?

Bonding tedavisinin kullanım ömrü genellikle 3 ile 10 yıl arasında değişir ve bu süre, hastanın ağız hijyenine ne kadar dikkat ettiğine ve alışkanlıklarına bağlı olarak değişkenlik gösterebilir. Bonding materyali dayanıklı bir yapıya sahip olsa da zamanla aşınabilir, renklenebilir veya küçük çatlaklar oluşabilir. Sert gıdaları çiğnemek, diş gıcırdatmak ya da tırnak yemek gibi alışkanlıklar bonding materyalinin ömrünü kısaltabilir. Ayrıca, kahve, çay, kırmızı şarap ve sigara gibi renklenmeye neden olan maddelerin sık tüketimi, bonding’in renginin değişmesine yol açabilir.

Bonding uygulamasının uzun süreli kullanımı için düzenli diş kontrollerine gitmek ve diş hekiminizin önerdiği bakım talimatlarına uymak önemlidir. Dişlerinizin düzenli fırçalanması, diş ipi kullanımı ve aşındırıcı ürünlerden kaçınılması, bonding tedavisinin ömrünü uzatmaya yardımcı olur. Bonding materyali zamanla aşındığında veya hasar gördüğünde, diş hekimi tarafından onarılması veya yenilenmesi mümkündür. Bu nedenle, bonding tedavisinin estetik ve işlevsel avantajlarını uzun yıllar boyunca koruyabilirsiniz. İyi bakım ve düzenli kontroller, bonding’in ömrünü daha da uzatarak doğal ve estetik görünümünü sürdürmesini sağlar.

Bonding Tedavisinin Yan Etkisi Var Mıdır?

Bonding tedavisi genellikle güvenli bir uygulama olmakla birlikte, nadir de olsa bazı yan etkiler görülebilir. En sık karşılaşılan durum, işlem sonrasında dişlerde kısa süreli hassasiyet oluşmasıdır. Bu hassasiyet, sıcak-soğuk yiyecek ve içeceklere karşı duyarlılık şeklinde olabilir ve genellikle birkaç gün içinde kendiliğinden geçer. Tedavi sırasında diş yüzeyi çok hafif bir şekilde pürüzlendirildiği için dişin doğal yapısına zarar verilmez; bu nedenle, bonding işlemi sırasında büyük bir risk oluşmaz.

Bonding materyali zamanla aşınabilir veya renk değiştirebilir; bu da estetik görünüm üzerinde değişikliklere yol açabilir. Kahve, çay, kırmızı şarap gibi renklenmeye neden olan gıdalar ve sigara kullanımı, bonding materyalinin renginin bozulmasına katkıda bulunabilir. Çok sert yiyecekleri çiğnemek veya tırnak yeme gibi alışkanlıklar, bonding materyalinin çatlamasına veya kırılmasına yol açabilir. Ancak, düzenli kontroller ve doğru bakım ile bu tür olası problemler önlenebilir veya kolayca düzeltilebilir.

Bonding tedavisi sırasında diş hekiminizin profesyonel yaklaşımı ve doğru tekniklerin kullanılması, yan etkilerin minimuma indirilmesini sağlar. Genellikle bu tedavi, dişlerin estetik görünümünü iyileştirmek isteyen hastalar için güvenli ve konforlu bir seçenek sunar. Olası yan etkiler hakkında hekiminizle konuşarak tedavi öncesi ve sonrası uygun bakım önerilerini almanız önemlidir.

Bonding Kırılır Mı?

Evet, bonding materyali diş yüzeyine güçlü bir şekilde yapışmasına rağmen, çok sert darbelere, aşırı kuvvetlere veya alışkanlıklarla (örneğin tırnak yeme, kalem ısırma gibi) karşılaştığında kırılabilir veya çatlayabilir. Bonding işlemi, dişin şeklini ve estetik görünümünü düzeltmek için dişin yüzeyine uygulanan bir kompozit materyal içerir ve doğal diş gibi sert ancak aşırı dayanıklı değildir. Sert gıdaları ısırmak, sert objelerle dişlerinizi kullanmak veya diş sıkma gibi kuvvet uygulayan alışkanlıklar bonding materyalinin hasar görmesine yol açabilir.

Bonding materyalinin kırılmasını önlemek için dikkatli olmak ve sert yiyecekleri dişlerinizle kırmaktan kaçınmak önemlidir. Eğer bonding materyali çatlar veya kırılırsa, diş hekiminiz tarafından kolayca onarılabilir veya yenilenebilir. Düzenli diş kontrollerine gitmek, bonding’in durumunu takip etmek ve gerekirse bakımlarını yaptırmak uzun vadeli kullanım için faydalı olur. Bonding, günlük diş işlevlerini yerine getirecek kadar dayanıklı olsa da, aşırı kuvvetlere karşı hassas olabilir ve bu nedenle dikkatli bir kullanım gerektirir. Diş hekiminizin önerilerini takip ederek bonding’in ömrünü uzatabilir ve olası kırılmalardan korunabilirsiniz.

Bonding Doğal Görünür Mü?

Evet, bonding tedavisi doğal bir görünüm sağlar ve dişlerinizle uyumlu olacak şekilde yapılır. Diş hekiminiz, bonding materyalini diş renginize uygun olarak seçer ve şekillendirir, bu da dişlerin doğal görünümünü korumasına yardımcı olur. Kompozit reçine, dişin üzerine dikkatlice uygulanır ve cilalanarak doğal bir parlaklık elde edilir. Bu sayede bonding uygulaması, dişin şeklini ve rengini doğal bir diş gibi yansıtır ve çevrenizdekiler farkı ayırt etmekte zorlanır.

Bonding tedavisi, dişlerdeki küçük çatlakları, renklenmeleri veya aralıkları kapatarak dişlerinizin daha düzgün ve estetik bir görünüm kazanmasını sağlar. Doğru uygulanmış bir bonding, dişlerle mükemmel bir uyum içinde olur ve gülüşünüzün doğal görünümünü destekler. Ancak, zamanla aşınma veya renklenme meydana gelebilir; bu durumda diş hekiminiz materyali cilalayarak veya yenileyerek estetik görünümünü koruyabilir. Bonding’in doğal görünmesi, hekiminizin deneyimi ve kullanılan materyalin kalitesiyle doğrudan ilgilidir, bu nedenle uzman bir hekimle çalışmak bu sonucu elde etmenizi sağlar.